"뇌는 한 번 손상되면 되돌릴 수 없다" - 이 말을 들어본 적이 있으신가요? 100세 시대를 맞이한 지금, 뇌 건강은 단순히 치매 예방을 넘어 삶의 질을 결정하는 핵심 요소가 되었습니다. 특히 2025년 현재, 뇌 건강 검진 기술은 놀라울 정도로 발전했으며, 조기 발견과 예방의 중요성이 그 어느 때보다 강조되고 있습니다.

왜 지금 뇌 건강 검진이 필수가 되었을까?
급속한 고령화와 뇌질환 증가
통계청 자료에 따르면, 2025년 현재 우리나라 65세 이상 인구 비율이 20%를 넘어섰습니다. 이와 함께 뇌졸중, 치매, 뇌종양 등 뇌질환 발병률도 지속적으로 증가하고 있어요. 하지만 다행히도 의료 기술의 발달로 조기 발견 시 치료 효과가 크게 향상되었습니다.
2025년 뇌 건강 검진의 새로운 트렌드
올해 들어 뇌 건강 검진 분야에서 주목할 만한 변화들이 있었습니다:
- 인공지능(AI) 기반 영상 분석: 기존보다 더 정확하고 신속한 진단이 가능해졌어요
- 개인 맞춤형 검진 프로그램: 유전자 검사와 생활습관을 반영한 맞춤형 접근
- 비침습적 검사 기술의 발달: 환자 부담을 줄이면서도 정확도를 높인 새로운 검사법들
- 예방 중심의 패러다임 전환: 치료보다는 예방과 조기 발견에 중점을 둔 접근법
뇌 건강 검진으로 조기 발견 가능한 주요 질환들
1. 뇌졸중 (뇌경색, 뇌출혈)
뇌졸중은 국내 사망원인 4위를 차지하는 심각한 질환입니다. 혈관이 막히거나 터져서 뇌 조직이 손상되는 질환으로, 골든타임이 매우 중요해요. 조기 발견 시 혈전 용해술이나 혈관 내 치료로 후유증을 최소화할 수 있습니다.
2. 치매 (알츠하이머병, 혈관성 치매)
2025년 현재 국내 치매 환자는 약 90만 명으로 추정됩니다. 아직 완치법은 없지만, 조기 진단을 통해 진행 속도를 늦출 수 있고, 인지 기능 저하를 지연시키는 다양한 치료법들이 개발되고 있어요.
3. 뇌종양
뇌종양은 양성과 악성으로 나뉘며, 조기 발견 시 수술적 치료나 방사선 치료로 완치 가능성이 높습니다. 특히 초기에는 증상이 거의 없어 정기적인 검진이 중요합니다.
4. 뇌동맥류
뇌혈관이 풍선처럼 부풀어 오르는 질환으로, 파열 시 치명적일 수 있습니다. 하지만 파열 전 발견하면 예방적 치료가 가능해요.



2025년 최신 뇌 검사 항목 완벽 분석
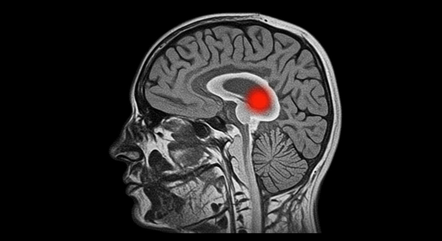
1. 뇌 MRI (자기공명영상) 검사
MR검사는 자기장과 고주파의 상호작용을 이용하여 인체의 해부학적, 병리학적인 정보를 얻을 수 있는 검사입니다. 뇌 MRI는 치매, 뇌종양 등 뇌의 구조적, 기능적 이상소견 여부를 확인하고자 하는 목적이 있습니다.
검사 특징:
- 방사선 노출 없이 뇌 구조를 상세히 관찰
- 뇌경색, 뇌출혈, 뇌종양, 치매 등 다양한 질환 진단 가능
- 검사 시간: 약 30-45분
- 조영제 사용 여부에 따라 더 정밀한 검사 가능
2025년 업데이트:
- 3T(테슬라) MRI 장비 보급으로 해상도 향상
- AI 기반 자동 분석으로 판독 정확도 증가
2. 뇌 MRA (자기공명혈관조영술) 검사
뇌MRA는 동맥류, 혈관기형, 혈관형태 등 뇌 혈관 이상을 확인하기 위해 혈관만을 영상화하는 검사입니다.
검사 특징:
- 뇌혈관의 모양과 흐름을 3차원으로 관찰
- 뇌동맥류, 혈관 기형, 혈관 협착 등 진단
- MRI와 함께 시행하면 더욱 정확한 진단 가능
- 비침습적이므 안전성이 높음
3. 뇌파 검사 (EEG, Electroencephalography)
검사 특징:
- 뇌의 전기적 활동을 측정하여 뇌 기능 평가
- 간질, 뇌전증, 의식 장애 등 진단에 중요
- 수면 뇌파 검사로 수면 장애도 진단 가능
- 검사 시간: 약 60-90분
2025년 발전사항:
- 고해상도 디지털 뇌파 장비로 더 정밀한 분석
- 장시간 모니터링 기술 향상
4. 뇌혈류 검사 (뇌관류 스캔)
검사 특징:
- 뇌 각 부위의 혈류량과 산소 공급 상태 측정
- 초기 뇌경색, 치매 진단에 중요한 정보 제공
- SPECT, PET 등 다양한 방법으로 시행
- 뇌 기능 평가에 유용
5. 인지 기능 검사
검사 종류:
- MMSE (간이정신상태검사): 기본적인 인지 기능 평가
- MoCA (몬트리올 인지평가): 경도인지장애 조기 발견
- 신경심리검사: 상세한 인지 기능 분석
- 컴퓨터 기반 인지 검사: 객관적이고 정확한 평가
2025년 새로운 기술:
- VR(가상현실) 기반 인지 검사
- AI 활용 음성 분석을 통한 인지 평가



연령대별·위험요인별 뇌 검사 주기 가이드
연령대별 권장 검사 주기
20-30대:
- 뇌 검사 주기: 특별한 증상이나 가족력 없으면 불필요
- 권장 사항: 생활습관 관리, 정기적인 혈압 체크
- 필요 시 검사: 심한 두통, 어지럼증 지속 시
40-50대:
- 뇌 검사 주기: 3-5년마다 뇌 MRI/MRA 권장
- 추가 검사: 혈압, 콜레스테롤, 당뇨 정기 검사
- 특별 주의: 흡연, 음주, 스트레스 관리 중요
60대 이상:
- 뇌 검사 주기: 2-3년마다 종합적인 뇌 건강 검진
- 필수 검사: MRI, MRA, 인지 기능 검사
- 정밀 검사: 뇌혈류 검사, 뇌파 검사 고려
위험요인별 맞춤 검사 주기
고혈압 환자:
- 검사 주기: 2-3년마다
- 필수 검사: 뇌 MRI, MRA
- 주의 사항: 혈압 조절 상태에 따라 주기 조정
당뇨병 환자:
- 검사 주기: 2년마다
- 필수 검사: 뇌혈류 검사 포함 종합 검진
- 특별 관리: 혈당 조절과 함께 정기 검사 필수
뇌질환 가족력:
- 검사 주기: 1-2년마다
- 정밀 검사: 유전자 검사, 인지 기능 검사 추가
- 예방 중심: 조기 발견에 중점을 둔 적극적 검진
흡연자:
- 검사 주기: 2-3년마다
- 필수 검사: 뇌혈관 검사 중점
- 권장 사항: 금연과 함께 정기 검진
2025년형 뇌 건강 검진 패키지 실제 사례
대형 병원 뇌 정밀 검진 패키지
삼성서울병원 뇌 정밀 검진
- 검사 항목: 뇌 MRI, MRA, 뇌혈류 검사, 인지 기능 검사
- 비용: 약 80-120만원
- 특징: AI 기반 영상 분석, 당일 결과 상담 가능
서울아산병원 뇌 건강 검진
- 검사 항목: 3T MRI, MRA, 신경심리검사, 뇌파 검사
- 비용: 약 70-100만원
- 특징: 개인 맞춤형 검진 프로그램
중소형 검진센터 실용적 패키지
KMI 한국의학연구소의 검진 프로그램, 프로그램별 검진 항목 및 정보를 확인하실 수 있습니다. KMI 건강검진 프로그램 안내서 (2025년 4월 기준)에 따르면, 다양한 맞춤형 뇌 건강 검진 프로그램이 운영되고 있습니다.
실용형 뇌 검사 패키지:
- 검사 항목: 뇌 MRI, 간단한 인지 검사
- 비용: 약 40-60만원
- 대상: 40-50대 일반인 대상
고급형 뇌 정밀 패키지:
- 검사 항목: MRI, MRA, 뇌혈류, 뇌파, 신경심리검사
- 비용: 약 80-100만원
- 대상: 60대 이상 또는 고위험군
지역별 특화 검진센터
뇌혈관질환이나 뇌 심혈관 질환 관련 위험요인을 집중적으로 검사하는 검진입니다. 특히 50대 남성과 60대 여성, 기저질환으로 고혈압, 당뇨병, 고지혈증과 같은 생활습관 병이나 뇌혈관 질환의 가족력이 있는 분들께 추천할 수 있는 검진입니다.
을지대학교병원 뇌혈관 특화검진:
- 특징: 뇌혈관 질환에 특화된 검진 프로그램
- 대상: 50대 남성, 60대 여성, 고위험군
- 맞춤형 접근: 개인별 위험도에 따른 검사 항목 조정



뇌 건강 검진 전 알아둘 점들
검사 전 준비사항
MRI/MRA 검사:
- 금속 제거: 액세서리, 시계, 핸드폰 등
- 복용 약물: 미리 의료진과 상담
- 폐쇄공포증: 사전 상담으로 대안 검사 고려
뇌파 검사:
- 머리 세정: 검사 전날 깨끗하게 세발
- 약물 조정: 일부 약물은 검사에 영향을 줄 수 있음
- 충분한 수면: 검사 정확도를 위해 숙면 필요
검사 후 관리
결과 해석:
- 전문의 상담을 통한 정확한 결과 해석
- 이상 소견 시 추가 검사나 치료 계획 수립
- 정상 소견도 정기적인 추적 관찰 중요
생활습관 개선:
- 규칙적인 운동과 건강한 식습관
- 금연, 절주, 스트레스 관리
- 충분한 수면과 뇌 자극 활동
뇌 건강 검진 비용과 보험 적용
검사별 평균 비용 (2025년 기준)
- 뇌 MRI: 30-50만원
- 뇌 MRA: 20-40만원
- 뇌파 검사: 10-20만원
- 인지 기능 검사: 5-15만원
- 뇌혈류 검사: 20-30만원
건강보험 적용
보험 적용 대상:
- 의학적 필요에 의한 검사
- 증상이 있거나 의사 판단 하에 필요한 경우
- 일부 검사는 본인부담금 발생
실비보험 활용:
- 대부분의 실비보험에서 뇌 검사 보장
- 보험사별 보장 범위 상이하므로 사전 확인 필요
마무리하며: 뇌 건강, 미리 지키는 것이 최선
2025년 현재, 뇌 건강 검진 기술은 그 어느 때보다 발달했습니다. AI 기반 진단, 개인 맞춤형 검진, 비침습적 검사법 등 다양한 혁신이 우리의 뇌 건강을 지키는 데 도움을 주고 있어요.
하지만 가장 중요한 것은 예방과 조기 발견입니다. 뇌질환은 한 번 발생하면 되돌리기 어렵지만, 미리 발견하면 충분히 관리하고 치료할 수 있습니다.
뇌 건강 검진을 받아야 하는 신호들:
- 지속적인 두통이나 어지럼증
- 기억력 저하나 집중력 문제
- 가족력이나 위험요인 보유
- 40세 이상의 연령
여러분의 소중한 뇌 건강, 더 늦기 전에 체크해보세요. 건강한 뇌로 100세까지 활기찬 삶을 누리실 수 있을 거예요.
[이미지 위치 5: 건강한 뇌를 상징하는 라이프스타일 이미지]



'건강 & 웰빙' 카테고리의 다른 글
| 2025년 두뇌 활성화 게임 완전 가이드, 게임으로 똑똑해지는 과학적 방법 (0) | 2025.05.31 |
|---|---|
| 하루 10분, 뇌파 안정화 음악으로 내 마음을 정리하는 법 (0) | 2025.05.29 |
| 두통 완화를 위한 요가 완벽 가이드: 2025년 최신 연구와 전문가 의견 (0) | 2025.05.28 |
| 명상이 집중력 향상과 스트레스 감소에 미치는 놀라운 효과: 2025년 최신 과학 연구로 밝혀진 진실 (0) | 2025.05.27 |
| 2025년 한국 뇌 기능 검사 완전 가이드 (0) | 2025.05.26 |
| 잠들지 못하는 밤, 당신의 뇌는 무엇을 잃고 있나요? (0) | 2025.05.24 |
| 2025년 과학적으로 입증된 스트레스 해소법: 명상과 호흡법으로 찾는 일상의 평온 (0) | 2025.05.23 |
| 뇌졸중 예방을 위한 효과적인 운동 가이드 - 2025년 최신 의학 정보 기반 (0) | 2025.05.22 |